Dentist in San Diego
Previously the office of Dr. Cassell, Cassell Dentistry
Salt and Smile Dental Co offers the compassionate, comprehensive care you deserve from our dentist in San Diego. Led by Dr. Shawn Yazdanmehr, our Mission Valley dental practice combines the warmth and personal attention of a traditional neighborhood dental office with the precision and capabilities of advanced technology. We believe visiting our dental office should feel less like a chore and more like a positive part of your routine—a place where you can relax, ask questions freely, and receive honest guidance about your oral health. When you need routine cleaning, cosmetic dentistry, or you’re facing complex dental needs, our team approaches every appointment with the same goal: helping you feel confident about your smile and comfortable in our care.
Dr. Shawn Yazdanmehr and our entire team are committed to creating an environment where dental anxiety has no place and transparency guides every conversation. We understand that choosing our practice means placing trust in someone who will be your partner in lifelong oral health, which is why we’ve built our practice on three core values: humanism, confidence, and transparency. We recognize that behind every smile is a person with unique concerns, medical circumstances, and life situations. Our mission extends beyond providing exceptional dental care—we aim to be the dentist in San Diego CA you actually look forward to seeing, where your questions are welcomed, your treatment options are explained thoroughly, and you never feel rushed or confused about what comes next. This commitment to detail-oriented, conversational care defines everything we do.

Dr. Shawn Yazdanmehr leads Salt and Smile Dental Co with a philosophy that prioritizes comprehensive dentistry delivered with empathy and precision. As a solo provider, he offers continuity of care that’s increasingly rare in modern dental practices—you’ll see the same dentist every visit, someone who knows your dental history, remembers your concerns, and tracks your progress over time. His approach combines thorough clinical expertise with exceptional communication skills, ensuring patients understand not just what needs to be done, but why. Dr. Yazdanmehr’s commitment to staying current with continuing education means you benefit from the latest techniques in family dentistry, cosmetic treatments, and restorative procedures. His dedication extends beyond office hours, as he personally follows up with patients to ensure they’re recovering well and feeling confident about their treatment outcomes.
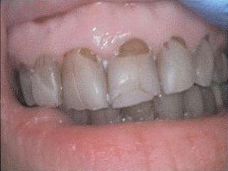
Damaged or missing teeth affect both your confidence and oral health. We understand how frustrating it feels to hide your smile or struggle with everyday activities like chewing. At Salt and Smile Dental Co, we provide dental crowns and bridges as proven solutions that bring back function and beauty to your teeth. Our approach combines traditional care with modern techniques, creating restorations that blend seamlessly with your natural smile.
A crown acts like a protective cap over a damaged tooth, while a bridge fills the space left by missing teeth. Both treatments use durable materials designed to last for years. Our dentist in San Diego works closely with you to understand your specific needs and create a personalized treatment plan. We take time to explain every step, answer your questions, and make sure you feel comfortable throughout our process.
Ignoring a cracked or weakened tooth creates bigger problems down the road. Small issues grow into painful emergencies that require more extensive treatment. Crowns protect vulnerable teeth from further damage and prevent the need for extraction. Our dentist carefully shapes and places the dental crown to restore your ability to chew properly and eliminate sensitivity that makes eating uncomfortable.
Here’s what crowns can fix:
Gaps in your smile create more challenges than you might realize. Your remaining teeth start shifting into empty spaces, throwing off your bite alignment. Chewing becomes difficult, forcing you to avoid certain foods. Bone loss occurs in the jaw where teeth are missing, changing your facial structure over time.
Our dentist performs the professional placement of bridges to prevent these complications and restore normal function:
We offer bridge solutions that restore your complete smile and bring back normal function. Our dentist guides you toward the best choice based on your oral health and personal goals. We believe in transparent communication and detailed explanations, so you always understand your options before making decisions about your treatment.
Losing a tooth affects more than just your smile. After our dentist removes a tooth, the empty socket begins a natural healing process that often leads to deterioration. Socket preservation is a procedure that protects the extraction site and maintains the structure of your jawbone. This technique helps create a stable foundation for future restorative work.
At Salt and Smile Dental Co, we understand how important it is to preserve your natural jaw structure after an extraction. Our approach focuses on preventing the complications that come with untreated extraction sites. We work with you to determine if socket preservation fits your oral health needs and long-term goals.
Certain situations make this procedure especially valuable for patients. People planning to get dental implants done by our skilled dentist in San Diego later benefit from having healthy jaw structure already in place. Teeth in visible areas of your smile need special attention because deterioration affects your appearance. Patients with existing density issues gain extra protection against further problems in the jaw.
Good candidates for our procedure include:
Planning ahead saves you time and discomfort down the road. Socket preservation gives you more treatment options in the future, even if you’re not ready to replace the tooth immediately. Our dentist can address the gap months or even years later without extensive reconstruction.
Our approach offers several advantages:
Most people heal without major complications after our procedure. Our dentist provides detailed aftercare instructions to help you through the process. Your oral health matters to us, and we stay available to answer questions and address concerns as you recover.
Missing teeth create challenges that go beyond appearance. Gaps in your smile make chewing difficult, affect your speech, and cause neighboring teeth to shift out of position. Dental implants provide a permanent alternative that mimics the structure of natural teeth. Unlike removable dentures or bridges that rest on top of your gums, implants anchor directly into your jawbone through a titanium post that acts as an artificial root.
The implant process involves our dentist surgically placing a fixture into a patient’s jaw, which naturally fuses with the surrounding bone tissue over several months. This biological bonding process, called osseointegration, creates a stable foundation that supports a custom porcelain crown. The result looks, feels, and functions like a real tooth. You can eat your favorite foods without worry, speak clearly, and smile with complete confidence.
Your jawbone requires constant stimulation to maintain its density and strength. Natural tooth roots provide this stimulation every time you bite or chew. After tooth loss, the bone in that area receives no pressure signals and begins to deteriorate. This shrinkage changes your facial structure over time, creating a sunken appearance around your mouth and lips.
Professional placement of implants by our dentist in San Diego as a tooth replacement actively prevents this deterioration:
At Salt and Smile Dental Co, we use advanced imaging technology to assess your bone density and create a precise treatment plan. The titanium posts integrate with your existing bone structure, essentially becoming part of your body. This unique characteristic sets our implants apart from every other restoration method available.
Traditional dentures sit on top of your gums and rely on adhesives or suction for stability. Bridges require grinding down healthy adjacent teeth to serve as anchors. Both options need replacement every several years as they wear down or lose their fit. Our dentist reshapes teeth on either side of the gap to ensure a secure fit and longevity of your restoration.
Key advantages that set our implants apart include:
Our implants use a three-part system designed for longevity. The titanium fixture serves as your new root, the abutment connects the root to the visible portion, and the porcelain crown completes your smile. Each piece works together to create a restoration that’s virtually indistinguishable from the teeth you were born with. You’ll forget which teeth are implants because they feel completely natural in your mouth.
At Salt and Smile Dental Co, we’ve created a comprehensive patient experience that prioritizes both your comfort and your oral health. Here’s what sets our dental office apart.




Yes, we do accept appointments at our dentist’s office. In fact, we highly recommend that you schedule an appointment with us in advance to ensure that you receive the best possible care.
Yes, please arrive at least 10-15 minutes early to fill out any patient forms.
We accept checks, cash, credit cards, and most insurance plans. Contact our office so a member of our team can verify your insurance or visit our Payment Options page for more information!
View Payment OptionsIt is important to schedule routine checkups and cleanings to keep your teeth and gums healthy. It is recommended by the ADA to visit the dentist at least once every six months. Contact us now to book your appointment and take the first step toward optimal oral health!
We provide comprehensive dental care including preventive services like cleanings and dental exams, restorative treatments such as crowns and bridges, cosmetic dentistry options including veneers and teeth whitening, and advanced procedures like dental implants. Our family-friendly dental care approach means we serve patients of all ages for routine checkups, dental emergencies, and complex full mouth restorations. Dr. Yazdanmehr also offers clear aligner therapy, bonding, root canals, and oral surgery including extractions and bone grafting.
We accept all major PPO plans, including Delta Dental, MetLife, Aetna, Guardian, Cigna, Blue Cross Blue Shield, Humana, GEHA, Principal, United Concordia, and United Healthcare. We do not accept HMO policies.
Dental insurance helps cover the cost of your care. Preventive services like cleanings and exams are often mostly covered, while restorative treatments may be partially covered. You’ll typically pay a monthly premium, deductible, or co-pay. Our team helps you understand your benefits and maximize your coverage.
Your initial appointment includes a comprehensive exam where Dr. Yazdanmehr thoroughly evaluates your oral health, discusses any concerns you have, and develops a personalized treatment plan if needed. We utilize our CBCT scanner and advanced dental technology to gain detailed insights into your dental condition. Our dental hygienist can initially perform a professional cleaning unless immediate treatment is required. We want your first visit to establish trust with our dentist and demonstrate our commitment to detail-oriented, transparent dental care.
If you’re experiencing severe pain, swelling, or a broken tooth, contact our office right away. We’ll do our best to see you quickly and provide care to relieve your pain and prevent further damage.
We understand that dental emergencies can’t wait for regular business hours, which is why we make every effort to accommodate urgent dental needs promptly. Our team prioritizes emergency patients who are experiencing severe pain, trauma, or infections that require immediate attention. You contact our dental office with an emergency, and we’ll work quickly to assess your situation, provide guidance over the phone if appropriate, and schedule you for the earliest available appointment with our dentist to address your urgent dental care needs.
Absolutely—we serve new patients and families at our Mission Valley dental office. Our team treats both adults and children, creating a comfortable environment for family dentistry where everyone receives age-appropriate care. Having all family members receive care at the same location creates a sense of familiarity and trust. Our bilingual staff speaks English and Spanish, making communication easy for diverse families throughout the San Diego area.
We combine the personal attention of a traditional dental practice with modern dental technology to deliver care that’s both advanced and genuinely compassionate. Our San Diego dentist, Dr. Yazdanmehr provides thorough explanations of your treatment plan and personally follows up with patients after treatments. Our dental staff prioritizes building relationships over rushing through appointments, which helps reduce dental anxiety and creates an environment where you feel comfortable asking questions and discussing concerns openly.
At Salt and Smile Dental Co, we balance clinical excellence with genuine care for your comfort and wellbeing. Dr. Shawn Yazdanmehr and our experienced team provide comprehensive dental services in an environment designed to reduce dental anxiety and build lasting relationships. If you’re new to the area, seeking a second opinion, or simply looking for a dental practice that treats you with respect and transparency, we invite you to experience the difference that personalized, detail-oriented care can make. Connect with us today to schedule your appointment with a dentist San Diego families trust for comprehensive care and a personable experience. Call our dental practice at 619.220.7475 or visit us at 591 Camino de la Reina, Suite 412, to begin your journey toward confident, healthy smiles.